
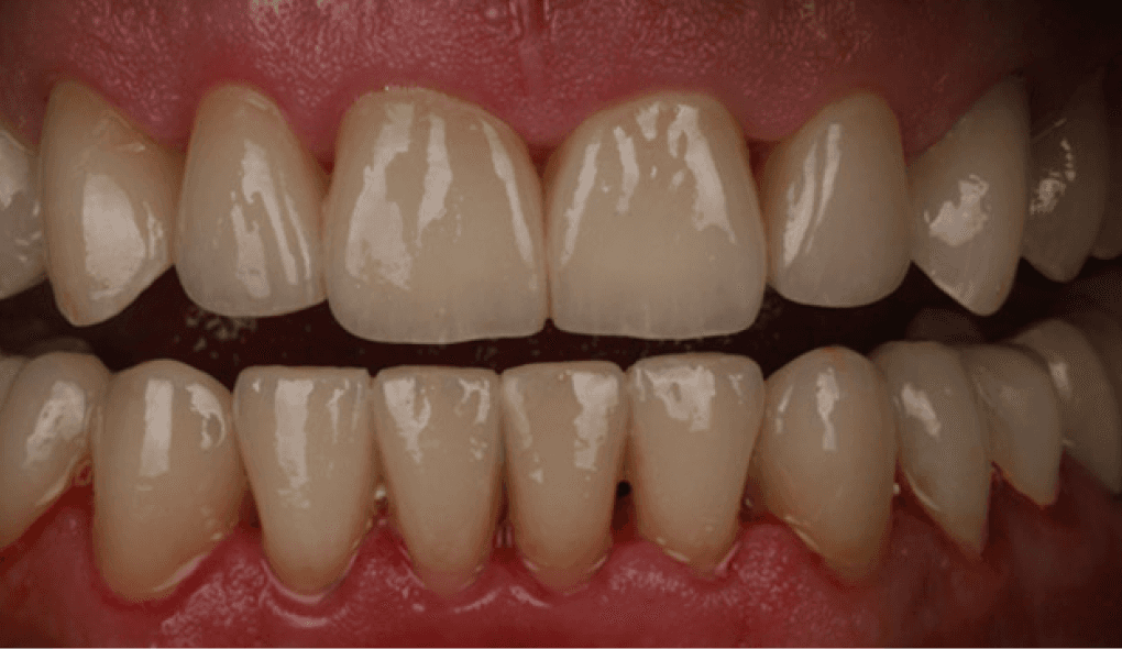
Професійна чистка зубів
Здоров’я та природна білизна вашої усмішки
Здорова усмішка без нальоту, каменю
та неприємного запаху
Ми вирішуємо
Перелік наших послуг
Професійна гігієна порожнини рота
М’яко видаляємо камінь, пігментований наліт та бактерії навіть у важкодоступних місцях
Ми вирішуємо
Air Flow
Полірування
Air Flow — очищення та освіження
Очищення зубів спеціальним порошком та водою - повертає природний колір емалі
Профілактична чистка ясен
Зменшує запалення, кровоточивість та ризик пародонтиту
Полірування
та рекомендації
Поліруємо зуби та підбираємо індивідуальні засоби домашнього догляду
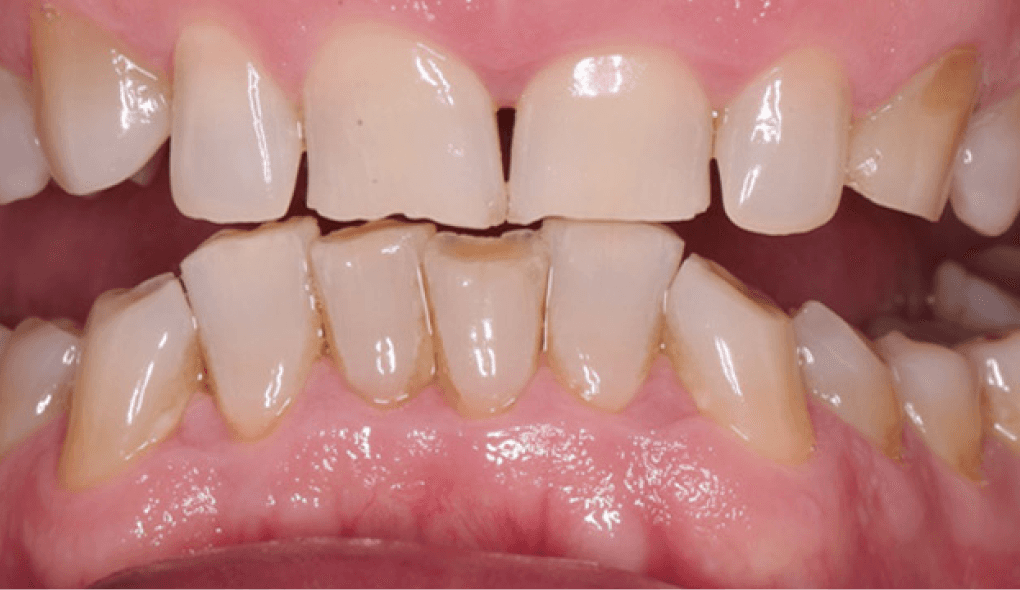
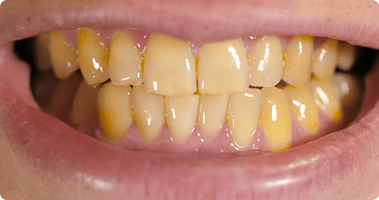
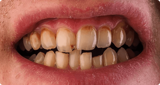
Що потрібно знати про зубний камінь?
М’які залишки їжі, що накопичуються на поверхні зубів і ясен, притягують бактерії та мікроорганізми. З часом вони з’єднуються й утворюють зубний наліт на емалі. Якщо цей наліт не видаляти щодня, він поступово мінералізується під впливом солей і перетворюється на зубний камінь.
Основні причини утворення зубного каменю:
Часте вживання продуктів із високим вмістом цукру та вуглеводі
Недостатня або неправильна гігієна ротової порожнини (нерегулярне чищення, неправильна техніка, невідповідна жорсткість щітки);
Переважання м’якої їжі в раціоні або жування лише на один бік щелепи;
Захворювання організму, пов’язані з порушенням обміну речовин.
Навіть при щоденному чищенні зубів наліт видаляється приблизно на 90%, а його залишки можуть стати основою для формування зубного каменю. Тверді відкладення порушують мікрофлору ротової порожнини, спричиняють запалення, травмують ясна, викликають неприємний запах з рота, кровоточивість і відчуття печіння. Щоб запобігти утворенню зубного каменю або безпечно його усунути, необхідно регулярно проходити професійну чистку зубів у стоматологічному кабінеті.
Поетапно
01
Огляд і консультація
Оцінюємо стан зубів і ясен, визначаємо обсяг чистки
02
Ультразвукове очищення
Видаляємо твердий зубний камінь без пошкодження емалі
03
Air Flow
Прибираємо пігментований наліт та поліруємо поверхню зубів
04
Полірування
Робимо зуби гладкими, щоб наліт накопичувався повільніше
05
Рекомендації
Пояснюємо, як зберегти результат надовго
Ціни
Формування Цін
Комплексна
чистка зубів
-30%
1 260 грн
Додатково (за потреби)
Огляд стоматолога
300 грн
Чистка при запаленні ясен
500 грн
Команда RozDent
Роман Розман
Засновник
Стоматолог-хірург
20 років досвіду
Василь Охрименко
Стоматолог-хірург
20 років досвіду
Інна Шегорцова
Лікар-стоматолог
3 роки досвіду
Ольга Полкач












